Caz fanTAStic

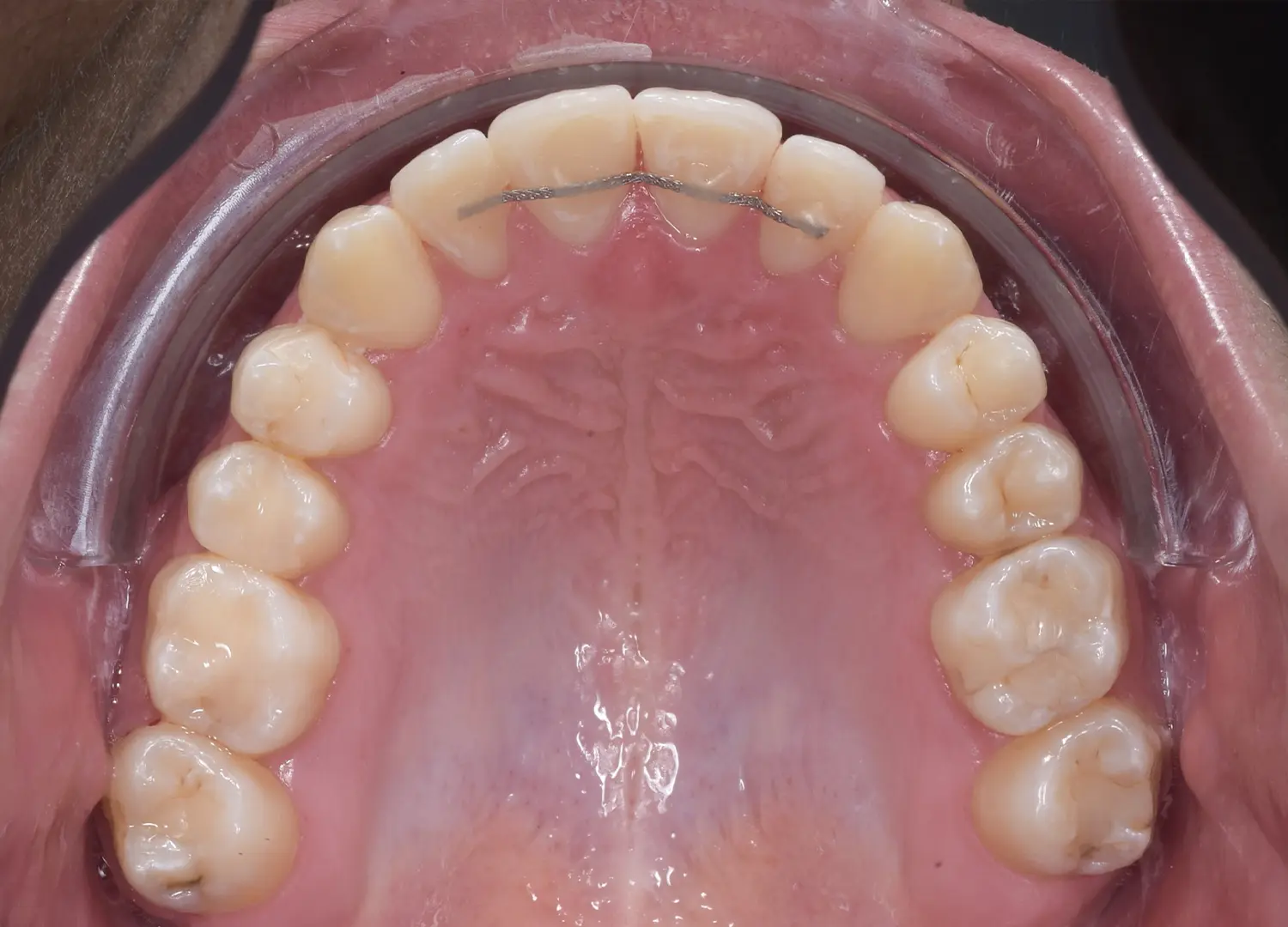
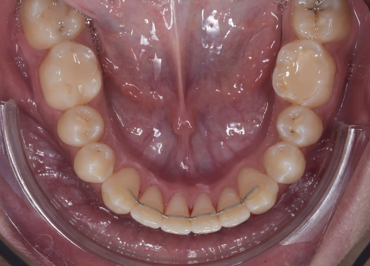
Aparat: aparat dentar metalic
Durată: 12 luni
Probleme dentare rezolvate: Anomalie dentară de clasa a III-a

Funcționalitate, estetică și mult curaj

1 an și 2 luni de tratament ortodontic cu aparat dentar metalic au fost suficienți pentru o transformare completă: un zâmbet nou și un plus real de încredere în sine.

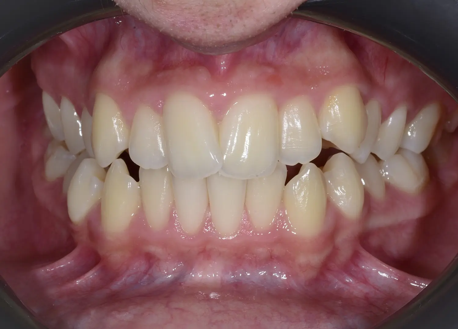
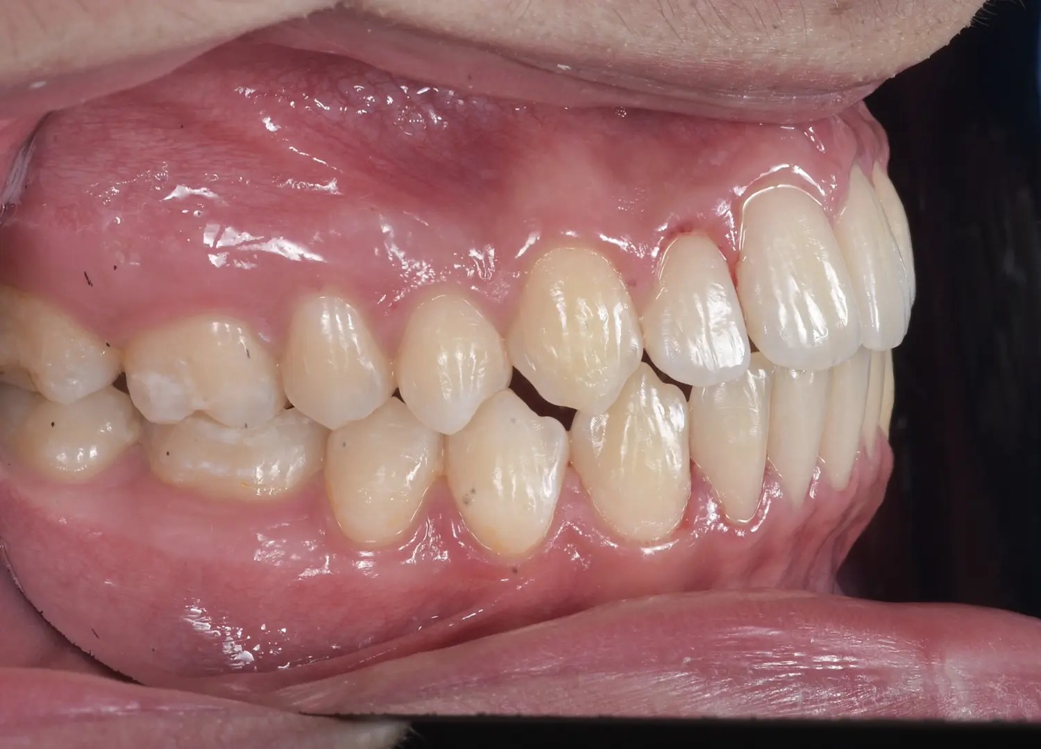
Rezultate care zâmbesc de la sine

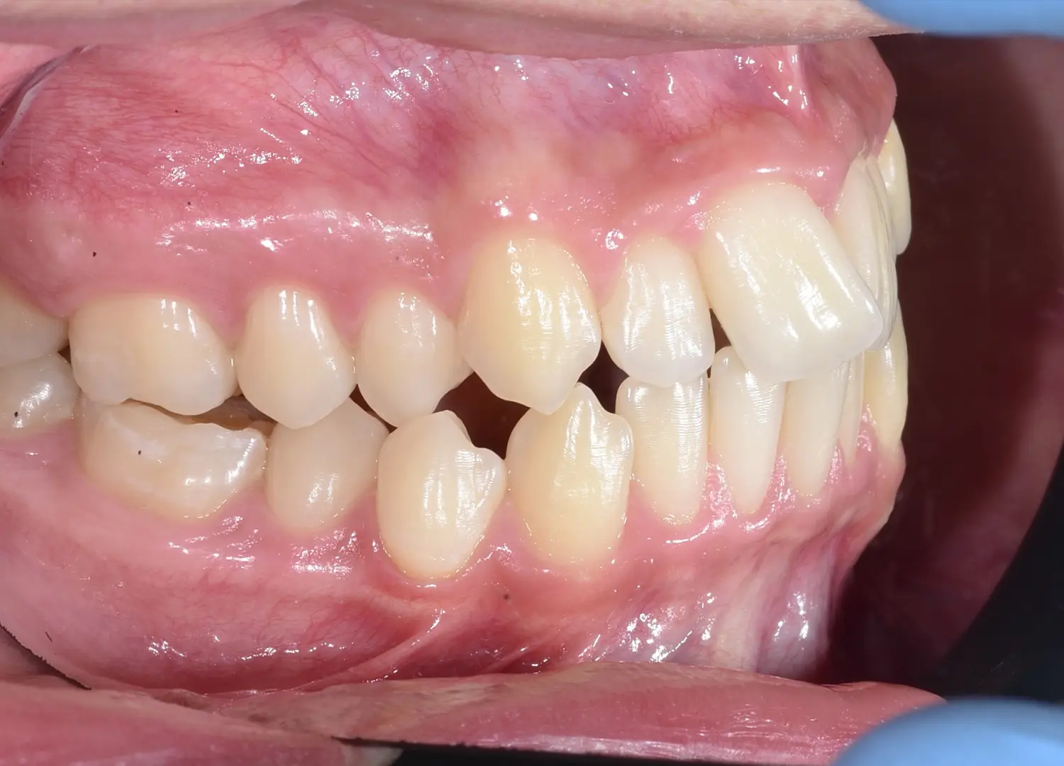
After
Before

Pacientul a urmat tratamentul cu seriozitate, chiar și în condițiile deplasărilor de la distanță. Evoluția a fost constantă, iar rezultatele finale reflectă eficiența planului ortodontic ales.

Scroll to Top